様々な矯正治療と
組み合わせることにより
より自然な美しい見た目を!
広島駅から徒歩6分の歯科医院
インプラント・セラミック治療・マウスピース矯正

様々な矯正治療と
組み合わせることにより
より自然な美しい見た目を!

セラミック治療とは、保険適応外のセラミックなどの材質を使用し、天然歯に近い色の詰め物や被せものを作成し行う治療です。
保険治療で用いられる銀歯はどうしても見た目に難があり、歯ぐきの変色を起こすこともあります。また白いレジンでの修復もプラークが付着しやすいだけでなく、経年変化により変色しやすいのが特徴です。
しかし、セラミック治療であればそういった見た目が気にならない白い材質で治療を進めることが可能ですので、女性に人気の治療です。
また、レジン製のクラウンに比べ時間をかけて型どりをおこなったり、セラミックの種類を選ぶことができるので、ご自身の歯にあった自然で美しい被せものをつくることができます。
| ジルコニア・オールセラミック |
セラミックの中で一番優れた審美性・耐久性 人工ダイヤの「ジルコニア」を使用しており、セラミックの3倍の強度がありながらも、しなやかで曲げ強度に優れているので、奥歯にも使用できます。【長所】 ・金属を使っていないので、金属アレルギーの方も安心 ・変色しにくく、汚れもつきにくい ・患者様の歯の色に近づける色の調整が可能 【短所】 ・歯を少し削る必要がある ・過度な力が加わるとセラミックがかけてしまうことがある |
|---|---|
| オールセラミック |
天然歯に近い質感や色合いを再現 セラミックのみで出来ているので、天然歯のような仕上がりに。強度がジルコニアほどではないため、前歯や小臼歯に使用します。【長所】 ・金属を使っていないので、金属アレルギーの方も安心 ・変色しにくい ・患者様の歯の色に近づける色の調整が可能 【短所】 ・天然歯より硬いため、噛み合う歯を痛めることがある ・過度な力には弱いので、奥歯では使用できないことがある |
| メタルセラミック(メタルボンド) |
強度があるので奥歯やブリッジに 天然歯のような仕上がりに。強度も兼ね備えているため、奥歯でも使用可能です。【長所】 ・強い力がかかる奥歯でも使用できる ・銀歯に比べ、天然の歯の色合いに近い ・変色しにくい 【短所】 ・金属アレルギーの方には使用できないことがある ・歯と歯茎の境目が黒ずむことがある ・美しさでは、ジルコニアやオールセラミックに劣る |
| E-maxクラウン | セラミックのみを使用しているので、自然の歯に近く、審美性が非常に高いです。 見た目に優れた、オールセラミック系の補綴物になりますので、見た目にも優れています。 98,000円(税込) |
|---|---|
| ジルコニアベイシッククラウン | セラミックのみを使用しているので、自然の歯に近く、審美性が非常に高いです。 ジルコニア系の素材は、非常に耐久度が高いため、奥歯やくいしばりのある方にもおすすめです。 88,000円(税込) |
| E-maxインレー | セラミックのみを使用しているので、自然の歯に近く、審美性が非常に高いです。 見た目に優れた、オールセラミック系の補綴物になりますので、見た目にも優れています。 55,000円(税込) |
| ジルコニアインレー | セラミックのみを使用しているので、自然の歯に近く、審美性が非常に高いです。 ジルコニア系の素材は、非常に耐久度が高いため、奥歯やくいしばりのある方にもおすすめです。 55,000円(税込) |

CASES
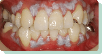
一度治療しても時間が経つと、写真のように変色することもあります。
そういった場合もふくめ、前歯をキレイしたい場合は、セラミックを使用したり、審美修復材料やホワイトニングなどを適材適所で用いることにより口元は大きく変化します




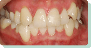
前歯に被せ物を入れて何年か経つと、歯ぐきとの境目が気になってくる場合があります。
再治療では、まず歯周治療をしっかり仕上げて、歯と歯ぐきの負担のないように処置を進めていきます。


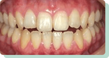
前歯のスキマは、ほんの少しでも気になるもの。顔の印象を大きく決定付けます。
写真では、矯正的にスキマを埋めて、代わりにできた脇のスペースをレジン修復しました。このようなケースは、処置後の患者さまの満足度はかなり高いようです。


この方の場合は、ほんの少し歯を移動させた後、白い被せ物で対処しました。


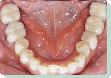
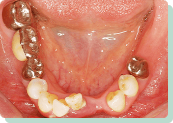
下の銀歯は、大きくお口をあけるとどうしても目立ってしまいますよね。このようなケースは、まず歯周治療やむし歯の治療が優先されます。
仮歯に置き換えながら治療を進め、最後にセラミックを装着していきます。金属アレルギーなどの心配も解消できますよ。


失ってしまった奥歯の部分にはインプラントを選択。
歯周病が進んでいたため、しっかり歯周治療に時間をかけました。
おかげで、よく噛める白い奥歯がしっかりと入りました。これからはしっかりメンテナンスをしていきます。


CASES
歯の白さと輝きを取り戻して自然な笑顔をめざします。
歯は削らず、薬剤を使用することによって白くすることを言います。
下右の写真のように専用トレーをつくり、進めていきます。
費用もほかの方法に比べると非常に安価で済みます。


上顎のみホワイトニング
上下

上顎のみホワイトニング
上下
歯ぐきの色も漂白できること、ご存知ですか?



CONTACT
治療に関するお問い合わせ
来院前に少しでも不安要素を少なくできるよう、誠心誠意お答えしていこうと思います。
もちろん、来院されるされないは関係ありません。
どんな些細なことでも大丈夫ですよ。お気軽にお問合せ、ご相談ください。
ACCESS

