広島駅から徒歩6分の歯科医院
インプラント・セラミック治療・マウスピース矯正
DENTURE
ぴったりフィットで、快適な食事を

歯を失った場合でも、入れ歯・義歯を装着することで噛むことや話すことなど、お口の機能を回復することができます。入れ歯・義歯には保険適用のものと適用外のものがあり、適用外(自費)のものは装着感や審美性で優位性があります。患者さまの症状やご希望により、適切な治療法を提案させていただきます。
TREATMENT GUIDANCE
ノンスクラプデンチャーとは、バネが無い、新素材の入れ歯のこと。従来の部分入れ歯から、“クラスプ”といわれる金属のバネをなくしたもので、つけているのがわからないぐらい自然で美しく、付け心地も良い新世代の入れ歯です。
当クリニックが採用しているのは、品質と技術に徹底的にこだわった最高レベルのノンクラスプ義歯です。

弾性


処置前後




参考模型



リスク:疼痛・咬合時痛・冷水痛・出血・歯ぐきへの損傷
費用:歯数・設計に応じて異なるため応相談、121,000円~280,000円
などのお悩みはありませんか?
従来の入れ歯は、歯ぐきに触れる部分がプラスチック(レジン)もしくは金属でしたが、シリコンデンチャーでは歯ぐきに触れる部分に生体用シリコン(軟らかい素材)を使用。そのため、当然ながら軟らかい歯ぐきにやさしく、抜群のフィット感を得られます。
また、歯ぐきや残っている歯との間に隙間ができにくく、痛みの原因となる食べカスが入りにくいという利点も。
万一、歯ぐきの状態が変化して、入れ歯が合わなくなったとしても、バイオシリコンの部分だけの張替えも可能です。
参考模型
歯が少なくなり、どうしても入れ歯が安定しない場合は、インプラントを最小限適用して、安定させることも可能です。
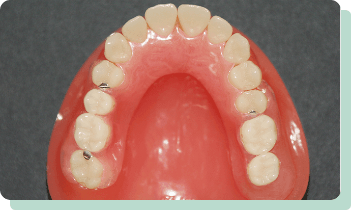
写真の方の場合は、ホックのような材料を採用。
パチッと差し込む方法で装着するので、維持力が大きく増しました。
入れ歯を安定化させることで、しっかり噛めるというメリットもあります。
インプラント義歯



リスク:疼痛・咬合時痛・冷水痛・出血・歯ぐきへの損傷
費用:インプラント治療(1本あたり)250,000円
根面にキャップをかぶせて入れ歯に取り込んでいくことで、入れ歯の安定度を増すことが可能です。
歯周病などで歯がグラグラになっていたとしても、様々な治療法がございますので、ご相談ください。
処置前後





リスク:疼痛・咬合時痛・冷水痛・出血・歯ぐきへの損傷
費用:保険適応
左の写真は、歯周病が進んで、どんどん歯が抜けていっている状態です。
この方は、歯を短くし、金属のキャップの上に特殊な入れ歯を装着。
これにより、快適にお食事ができるようになりました。
処置前後


リスク:疼痛・咬合時痛・冷水痛・出血・歯ぐきへの損傷
費用:金属床義歯使用 280,000円

パッと見て入れ歯だと
気づかれたくない

今ある入れ歯が外れやすい、
噛みにくい、痛い

金属のバネが気になって大きく
口を開けて笑えない
入れ歯を装着して痛みを感じる場合は入れ歯の形が適切でなかったり、噛み合わせがあっていないことが原因です。
当クリニックでは患者様の現在の状況をしっかりとお伺いしてから最適な治療をご提案させていただきます。
「入れ歯にして今まで通りすごせるかな?」
「痛くないかな?」
「今ある歯を抜かなければいけないのかな?」
など色々なご不安があるかと思いますが、安心してご相談ください。

CONTACT
治療に関するお問い合わせ
来院前に少しでも不安要素を少なくできるよう、誠心誠意お答えしていこうと思います。
もちろん、来院されるされないは関係ありません。
どんな些細なことでも大丈夫ですよ。お気軽にお問合せ、ご相談ください。
ACCESS

