広島駅から徒歩6分の歯科医院
インプラント・セラミック治療・マウスピース矯正
IMPLANT

食べる喜びをもう一度!
インプラントとは、人工歯根のこと。
むし歯や歯肉の病気、あるいは怪我などで失った歯のかわりに、
人工の歯根(しこん)を埋め込み、人工の歯をつける治療方法です。
まずは、CTなどでしっかり診査・診断をして、患者さまに最適な治療プランを提案。CT撮影された画像をコンピューター上で立体化する3Dシミュレーションシステムを使って、より正確に顎の状態を診断し、さらに、インプラント手術のシミュレーションを行って、適切な埋め込み位置を決定していきます。
患者さま一人一人に最適なインプラントを選択して、人工の歯根(しこん)を埋め込む一次手術をします。インプラントが顎の骨に結合するまで、1.5~6ヶ月ほど経過を見守り、人工の歯根に土台を固定し、セラミックなどの人工歯を取り付けます。
当クリニックでは、高品質なストローマン社のインプラントを使用しています。治療後はご家庭でも正しいケアをお願いします。また、定期的な歯科クリニックでのケアも大事です。
※自由診療のため、インプラント治療1歯につき400,000円の費用がかかります。
欠損した歯を人口の歯で補う治療を欠損補綴治療といい、その種類はインプラントを含め大きく分けて3種類あります。
これらにはそれぞれ特徴(メリット・デメリット)があります。
当クリニックではこれらの欠損補綴治療をすべて取り揃えておりますので、しっかりと患者様の口腔内の状態やご希望をお聞きし、相談したうえで治療提案を行わせていただきます。
それぞれの治療方法のメリットとデメリットは以下の通りになります。

【メリット】
材質によっては保険適応での治療が可能である。
セラミックなどを使用すると自然の歯に近い美しさを得られる。
治療期間にそこまで長い期間を要しない。
咀嚼能力(噛める力)をそれなりに維持できる(天然歯の60%程度といわれています。)
【デメリット】
治療の際、土台となる両隣の健康な歯を削る必要がある。
土台になる歯に大きな負担がかかり、寿命が短くなる。
保険適応の素材の場合見た目が良くない。
ブリッジと歯肉の間に食べ物のカスなどがつまり、不衛生になりやすい。
費用:自費の場合 264,000~294,000円(保険適応のものあり)
副作用・リスク:疼痛・咬合時痛・冷水痛・出血・違和感など

【メリット】
材質によっては保険適応での治療が可能である。
治療期間にそこまで長い期間を要しない。
自費診療の場合は、いくつかの素材の中で治療を選べるため、見た目や噛み心地など、患者様の重視する視点から治療提案が可能。
自費診療などのものでは、バネが目立たないものもある。
【デメリット】
咀嚼能力が低く、食べにくい食べ物がでてくる。
異物感があり、慣れるまで不快感がある。
保険適応の場合は金属のバネが目立ちやすい。
保険適応のものは口内にジャストフィットしにくい。
費用:自費の場合 121,000~330,000円(保険適応のものあり)
副作用・リスク:疼痛・咬合時痛・冷水痛・出血・違和感など
術前のCT解析でより安全で安心できるインプラント治療を目指しています。
「インプラント治療を選択して本当によかった」と思われる治療を心掛けています。当クリニックでもインプラント治療を選択される患者さまが飛躍的に増えています。しかしながら、歯がなくなったからインプラントを入れるという単純な発想を持つことはとても危険なものだと考えています。どうして歯を失うことになったか?その原因を追及・解決せずに先には進めません。当クリニックではいくつかの条件がそろって、初めてインプラントを検討してまいります。
そして何より患者さまとのお話合いの時間を十分にとって、この治療を選択してよかったと思っていただけるよう、最善を尽くします。
※費用については、お気軽にお問合せ・ご相談ください。
滅菌済みのもののみを使用して手術します。
また、滅菌していても細菌の付着した手で触ってしまったら意味がありませんので、正しい手順に則して処置を行います。
徹底した衛生管理の中、主役のインプラントを
使いまわすということは常識的にはあり得ません。
インプラントをこれから埋入される患者さまにとって、衛生管理はとても重要な問題です。当クリニックでは、オペに使用する機器は全て滅菌済みのものを使います。
扱っているインプラントは、きちんと認可を受けているもので、使い回しなど一切しておりません。ご安心なさってください。
また、機器だけでなく、治療箇所に触れる可能性のあるものは全て滅菌して衛生面に最大限に配慮しています。

オペに使用する機器類は全て、完全殺菌されたパックに入っているものを患者さま毎に開封して利用。
また、治療箇所に触れる可能性のあるものは全て完全殺菌されたものを使用しています。

執刀医、手術第一助手、手術第二助手の3人体制で執刀します。
それは、滅菌された無菌状態の手術用具の外袋にはどうしても若干の細菌が付着していますので、それを第二助手が袋の中身に触れないように開封し、執刀医に渡す必要があるからです。
当クリニックでは、基本的に、高品質のストローマン社のインプラントのみを取り扱っております。
現在、全世界で100社以上のインプラントメーカーが存在するといわれていますが、当クリニックが使用している2社でインプラントの世界シェアの50%以上を占めています。

患者様の骨状態やその他の条件を考慮し、
適切な方をご提案します。
国産のインプラントを使わず、世界のトップシェアのインプラントのみを使用するのは、全世界での成績・評価・安全性が高いため、安心して使用できるからです。
また、生産量の少ないインプラントは生産中止になったり、修理不能の状態になる恐れもあるため、使用していません。
インプラントの成功には、手術完了後のメンテナンスが非常に重要です。
インプラントそのものは高い耐久性を備えており、むし歯になることはありません。
しかしながら、治療完了後のメンテナンスをきちんと継続するかどうかで、インプラントの機能が最大限に発揮されるかどうかが決まるのも事実です。
実際に、メンテナンスを疎かにしてしまうと、インプラント自体ではなく、その周辺にある歯肉・歯茎などに炎症が発生し、インプラント周囲炎などの様々な病気に発生する可能性が出てきます。
最悪の場合は、せっかく行ったインプラントが歯茎から抜け落ちてしまう可能性もありますので、しっかりと定期メンテナンスに通うことをお勧めします。

インプラント周囲炎を予防するインプラントメンテナンス
当クリニックでインプラント治療を受けていただいた患者様には、専用のメンテナンス(PMTC)を受診いただき、インプラント周囲炎などが起きないように、予防管理を行っていきます。
インプラント治療に必要な骨が足りない場合は、GBR、ソケットリフト、サイナスリフトといった手法を用います。
GBRとは、Guided Bone Regeneration(骨誘導再生術)のことを指し、人工の骨などを用いて、不足している骨を造成していくことを言います。
インプラント治療を希望される患者様の中には、骨がやせ細ってしまっている患者様などもいらっしゃいます。
実際に、骨がやせ細ってしまっている場合は、インプラントが骨の中に収まらずにはみ出してしまうこともあり、そのまま被せものをおこなった場合には、歯ぐきから露出した状態になってしまいます。
そういった事を防ぐために、必要な箇所に骨を造成することがあり、その方法をGBRと言います。
副作用・リスク:粘膜の損傷、歯肉の損傷、出血、手術時の痛み・違和感、歯肉の腫れなど
費用:55,000円
上顎臼歯部の上方には上顎洞という空洞があり、インプラント治療をするにあたり、骨の量(たかさ)が不足していることがあります。
そのような場合、以下のような手法を使って対応することが可能です。
上顎(上あご)の骨が不足している場合にインプラント埋入と同時に自身の骨・人工骨などの移植を行い、足りない骨を補う手法です。
ある程度既存の骨が残っていることが条件となります。
副作用・リスク:粘膜の損傷、歯肉の損傷、出血、手術時の痛み・違和感、歯肉の腫れなど
費用:33,000円~55,000円
上顎(上あご)の骨が極端に不足しており、埋入と同時に骨を増やしてもインプラントの初期固定が得られないケースに用いる手法です。
側方からのアプローチにより、自身の骨・人工骨などの移植を行い、必要な骨の厚みを獲得する手法です。
通常半年ほど待って、インプラント埋入を行います。
副作用・リスク:粘膜の損傷、歯肉の損傷、出血、手術時の痛み・違和感、歯肉の腫れなど
費用:150,000円~250,000円

FLOW
01しっかり診査・診断


3Dシミュレーションシステム
(Simplant)で正確に判断。
CT撮影された画像をコンピューター上で立体化する3Dシミュレーションシステム。(シンプラント Simplant)
この装置を使って、より正確に顎の状態を診断し、さらに、インプラント手術のシミュレーションを行って、適切な埋め込み位置を決定していきます。
02インプラント手術
患者さま一人ひとりに最適なインプラントを選択して、人工の歯根(しこん)を埋め込む一次手術をします。手術時間は、本数にもよりますが30分~1時間程度です。局所麻酔をして手術しますので、痛みは感じません。それでも、少し不安、恐い…と思われる方は、静脈内鎮静法で手術を受けることも可能です。
個人差はありますが、術後は簡単な抜歯程度の痛みで、ほとんどの方は1~2日で楽になったといわれます。
03人工歯の取り付け
インプラントが顎の骨に結合するまで、1.5~6ヶ月ほど経過を見守ります。(ほとんどのケースで2~3ヶ月程度です)
その後、場合によっては人工の歯根を歯肉の上に露出させる2次手術をするケースも。
人工の歯根に土台を固定し、セラミックなどの人工歯を取り付けます。
04インプラントのメンテナンス

治療後はご家庭でも正しいケアをお願いします。また、定期的な歯科医院でのケアも大事です。ずっと良好な状態を保つためには、3~4ヶ月に1度の定期検診とケアを続けていきましょう。
もちろん、ご自身でのセルフケアも非常に大切になりますので、ご自宅での歯磨きなどもしっかり並行していきましょう。
CASES
向かって右奥は3本の歯が失われています。入れ歯にすると、バネをかける歯に負担がかかり予後に不安があるだけでなく、満足な咀嚼も期待できません。インプラントを応用することにより、左右でしっかり噛めるようになりました。また、条件が許せば2本のインプラントで対応することも可能です。向かって左側は、見た目の改善を目的にセラミック4本で対応しています。



リスク:疼痛・咬合時痛・冷水痛・出血・インプラント手術による歯ぐきなどの損傷・インプラント周囲炎など
費用:インプラント治療(計3本):1,320,000円
セラミック治療(計4本):350,000円
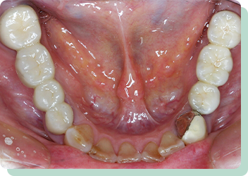
この患者様は右下に1本永久歯の先天性欠如がありました。ブリッジ・入れ歯・インプラント、いずれの処置法も可能ですが、前後の歯に負担をかけたくない、しっかりと左右で噛みたいという希望であったため、インプラント治療にて対応しました。


リスク:疼痛・咬合時痛・冷水痛・出血・インプラント手術による歯ぐきなどの損傷・インプラント周囲炎など
費用:インプラント治療1本あたり440,000円
上の歯は残っており、下の歯は全て抜けてしまったケースです。総入れ歯にした場合、受圧加圧のバランスが悪く、何でも噛める入れ歯を作ることは困難です。歯があった時のように食べれるようにという希望でしたが、十分な満足を得ることが出来ました。術後10年以上経過しましたが、問題なく機能しています。



リスク:疼痛・咬合時痛・冷水痛・出血・インプラント手術による歯ぐきなどの損傷・インプラント周囲炎など
費用:インプラントケース総額 2,640,000円
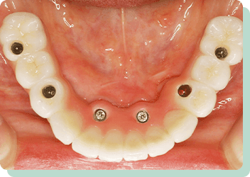
向かって左の歯は、根を支える骨の状態が悪く、残せるかどうか分からない位の歯でした。入れ歯やブリッジでの対応は難しく、右側にインプラントを入れてしっかりと咬合させることにより左の歯への負担を減らすことができました。結果10年以上経過した現在も問題なく機能しています。


リスク:疼痛・咬合時痛・冷水痛・出血・インプラント手術による歯ぐきなどの損傷・インプラント周囲炎など
費用:インプラント治療1本あたり440,000円
PRICE
| インプラント | ¥440,000 |
|---|---|
| 診断料(CT撮影・ステント費用含む) | ¥8,800 |
| 必要なケースに限る | |
|---|---|
| サイナスリフト | ¥150,000~¥250,000 |
| ソケットリフト | ¥33,000~¥55,000 |
| GBR | ¥55,000 |
| ソケットプリザーベーション | ¥33,000~¥55,000 |
CONTACT
治療に関するお問い合わせ
来院前に少しでも不安要素を少なくできるよう、誠心誠意お答えしていこうと思います。
もちろん、来院されるされないは関係ありません。
どんな些細なことでも大丈夫ですよ。お気軽にお問合せ、ご相談ください。
ACCESS

